CMなどでも見かける、黄色いネバァ〜ッとした歯垢は、細菌が集まってできたものです。
歯垢1mgには1億以上の細菌が存在しており、栄養源(食べカスなど)を与えられると数時間で激増します。
一般的には、食後3時間を経過すると急激に個体数が数百倍に増えると言われています。
概要

P-Scopeは主に歯科医院にてご利用いただいています。その中でも特に「歯周病」に関する観察・チェックに大変役立ちます。
そこで、健康な口腔環境のために、歯周病についてお勉強しましょう。
01歯周病とは?

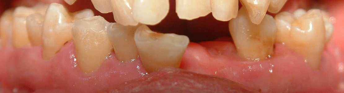
歯周病とは、細菌による炎症のこと。歯周病菌が大量繁殖して歯肉が炎症を起し、さらに進行すると歯の土台となる骨まで溶かしてしまう恐ろしい病気です。
歯垢(プラーク)は細菌のかたまり
対処法は?

まずは細菌を繁殖させないこと。特に食べカスが残らないよう丁寧にブラッシングすることが、歯周病にはとても大切です。
歯と歯の間や歯と歯茎のスキマにみがき残しが無いよう、しっかりブラッシングしましょう。
水ですすぐだけでも効果はある?
水ですすいだだけでもある程度の食べカスは流れますから、確かに何もしないよりはマシなのですが、歯の表面にへばり付いた細菌はブラッシングしないと取れません。
また、歯と歯茎の間(歯周ポケット)の部分は細菌の温床となっていますので、悪化しないうちにブラッシングをして、清潔に保ちましょう。
できてしまった歯石は厄介
細菌の塊である歯垢は、その細菌がカルシウム成分と結びつき、石のように硬く変化していきます。
これが歯石(しせき)です。
厄介なことに、古くなるほどに硬度を増してしまうため、一度できてしまった歯石は、いくら歯磨きをしても取れません。
歯石の表面はでこぼこしていて、内部には空洞が数多くあり軽石のような構造をしています。
このような構造は食べカスが溜まりやすく、細菌が繁殖しやすい環境になってしまいます。
こうなってしまうと、細菌、歯垢、歯石が増える悪循環に陥ってしまい、口内環境は急速に悪化します。
歯肉炎は歯周病の一部(初期段階)

細菌による炎症が歯肉にとどまっているのが歯肉炎です。
これは歯周病の初期段階であり、この時点で適切な処置を施せば、比較的短期間で完治します。
歯周ポケットの深さは「3mm」を超えたら注意!
健康な方の場合、歯と歯茎のスキマの深さは2mm以下と言われています。
ですが、3mmを超えると初期段階、歯周病が進行して炎症が進むと、スキマが広がって深くなります。
重症の患者さんの場合、深さが5mmを超える場合もあります。
一度、歯周ポケットが深くなってしまうと、ポケット内を清潔に保つことが難しくなり、細菌の繁殖が進むという悪循環に陥ります。
歯周病は、ムシ歯ほど痛くない?

歯周病の特徴として、歯茎の腫れや出血があっても、痛みを伴わないことがほとんどです。
単純なムシ歯の場合、進行すると痛むため治療を受けるようになるのに対し、歯周病は歯が抜けるまで痛みがあまりないため、重症化するまで放っておく方も多いのです。
独特の口臭
ここでいう「口臭」とは、胃ではなく口の中で発生する臭いのこと。
一般に口の中で発生する臭いは歯と歯の間や虫歯に溜まった食べカスの酸化(腐敗)が原因ですが、それとは別に歯周ポケットの奥など空気の届かないところに食べカスが溜まると、歯周病菌が繁殖して独特の臭いが発生します。
入念なブラッシングで繁殖した菌が減少すると比較的短期間で口臭は改善されますが、歯周病そのものが完治していないと、細菌の再繁殖とともに臭いも再発してしまいます。
嫌気性菌と好気性菌
初期に繁殖する菌は、酸素があっても繁殖する好気性菌(こうきせいきん=空気を好む菌)です。
好気性菌が無数に繁殖し、プラークとなって塊を形成すると内部に嫌気性菌(けんきせいきん=酸素を嫌う菌)が繁殖します。
歯周病菌は嫌気性菌ですので、プラークを発生させなければ歯周病菌が大量繁殖することもありません。
プラークコントロールが大事なのはそのためです。
歯周病の影響は口の中だけじゃない?

歯周病の影響は口の中だけじゃない?
高齢の方に多いのですが、歯周病菌を含む口腔内細菌が気管を通じて肺に達し、肺炎を起こす場合があります(誤嚥性肺炎)。
口腔内を清潔に保つ(オーラルケア)ことが肺炎の防止にもつながる訳です。
更に、最近の研究では歯周病菌が血管内に入り込み動脈硬化の原因となることが指摘されています。
歯石の沈着や歯周ポケットが深い(4mmを超える)など歯肉に異常がある人の割合は年齢と共に増加します。
5〜9歳ですでに 42.9%が歯肉に異常があり、その割合は14歳までに50%を超えます。
70〜74歳では93.5%に達します。
5〜9歳時点ですでに40%を超える割合で歯肉に異常が見られる男性よりも、女性の方が若干数値がよいのは歯磨き習慣の影響と考えられています。
年齢と共に性差はなくなり、65歳以上では男女共に90%を超えます。※1
また、歯周病菌が血液中に入り込み重篤な疾患につながる場合があります。
出血は歯周病の代表的な症状ですが、出血箇所から血液中に菌が入り込みます。
健康で充分な体力があれば少々の菌が進入しても免疫力で押さえ込むことができるのですが、高齢者あるいは糖尿病患者などの場合、抵抗力が減少していると菌の増殖を防ぎきれず感染症を患う可能性があります。
心臓に人口弁をつけた人の場合、歯周病にかかると心内膜炎のリスクがあがります。
これも血液中に入り込んだ歯周病菌の影響です。
最近では心筋梗塞や動脈硬化の患部から歯周病菌が検出される症例が多く報告されています。
※1.参照:厚生労働省調査報告書
歯周病に院内感染する可能性は?

歯周病は感染症です。新生児の口の中には歯周病菌は見られません。母子間の感染により2歳前後までに多くの口腔内細菌に感染してしまうのです。(口腔内細菌が全て悪という訳ではありません)
新生児(あるいは乳児)と母親との体格(体重)差から、『子供にとっては大量の』口腔内細菌が入り込むために感染・定着するのであり、成人間では『よほどのこと』が無い限り感染はしません。
『よほどのこと』とは、『大量の唾液を口に入れた』とか、『直接、歯肉どうしが触れ合った』とか、『歯間ブラシや爪楊枝を共有した』などの場合で、しかも定着するのは被感染者の口腔内が歯周病菌が繁殖するに適した環境である場合に限られます。
「歯科医院での歯周病菌院内感染の可能性」を心配される方がおられますが、今の日本の歯科医院の衛生状態から、その可能性は無いと言っていいでしょう。
『あの医院に行くようになって歯周病になった』と思っている方。
実は既に何年も前からあなたの口の中には歯周病菌がいたのです。
仮に(ふつうはありえないのですが)前の患者さんの口に入れた手袋を交換せずに自分の口に触れたからといって簡単に感染するものではないのです。
まとめ
歯周病の患部の治療を始めたばかりの頃には、ブラッシングの方法を変えたり器具、薬剤を使用したりと患部を刺激することが多く、一時的に腫れや出血がひどくなる場合があります。
ここで諦めず、根気強く治療を続けることが完治への近道です。
歯周病は、とにかく「予防」が大切。放っておくと『大変なことになりますよ』!
02歯周病にまつわるお話

歯周病は、さまざまな病気を引き起こすなど因果関係も注目されています。また、それにちなんださまざまな研究も進められています。
内科的歯周治療の確立に向けて

歯周病は細菌によって引き起こされる感染症の一つであるとした上で、歯石除去や歯肉の切除などの外科的処置用いず、位相差顕微鏡にて口腔内の細菌の様子・状況を調べた上必要な抗菌剤などを選んで処方する内科的歯周治療は、患者さんへの負担軽減の側面からも注目される治療方法です。
呼吸器疾患と歯周病との関係

ガンや脳卒中、心臓病に続いて日本人の死因上位に見られるのが肺炎です。
その原因と言われる細菌やウィルスは空気中に限らず、口腔内にまで及びます。
特に歯周病に関わる細菌の研究は、口腔内の環境が肺炎の潜在的感染源ではないかという論議の元に数多くの研究機関、医療機関にてなされており、日々研究が進められています。
歯周病と関係性が深いといわれている呼吸器疾患

嚥下性肺炎(えんげせいはいえん)/誤嚥性肺炎(ごえんせいはいえん):食物や唾液が誤って気管に入ってしまうことにより、唾液中に含まれる細菌が肺の中で繁殖し、炎症を起こすことによって起こる肺炎のこと。
歯周病と深く関係しているといわれており、現在研究が進められています。
歯周病が招く内蔵疾患

アメリカの歯周病学会においては、歯周病を抱えている人の方がそうでない人よりも心筋梗塞や糖尿病を患う確率が高いと発表されています。
また、妊娠した女性が歯周病を抱えていると、早産になる可能性が飛躍的に高まるとも言われています。
03P-Scopeの活用

歯科など、位相差顕微鏡・P-Scopeを使う場面はいくつかあります。
歯科(初診〜治療後の効果確認まで)

初診
例えばCオンリーの治療で訪れた患者さんのプラークを調べて、Pの罹患を自覚してもらい、Pの治療も進めるとか、健診でこられた患者さんの検査には非常に有効です。
特に、『きちんと磨いている』と自負されている患者さんの場合、磨き残しのプラークを位相差顕微鏡で観察すると無数のスピロヘータが見られるパターンも。
治療前
ここでの治療とは、Pの治療です。
医院様によって治療方法はさまざまだと思いますが、治療を始める前に位相差顕微鏡で口腔内細菌を確認しておきましょう。
ここでの記録が後々、大変役立ちます。
治療途中
何日にも渡って治療を進めていく途中で、時々検査しましょう。
多くの治療法では、圧倒的に菌が減少しているのを確認することができます。
ところが、自宅での歯磨きが疎かだと、翌日には菌量が大部分回復してしまいます。
ですので、来院直後に菌量が減少していたら『治療の効果が出ていますね』とアドバイスし、逆に菌量が増えていたら『自宅での歯磨きをしっかり行ってください』とアドバイスすることで、治療の効果と自宅での歯磨きの重要性を自覚できるとともに、自宅での歯磨きが原因で治療効果が上がらないのに、治療の方法に疑問を持ってしまうなどの誤解釈を防げます。
治療後の効果確認
ある程度の期間治療を行ったら、その結果を患者さんと確認しましょう。
ここで有用なのが「治療開始前に収録した画像」です。
画面上で対比しながら効果を確認すれば一目瞭然のため、より患者さんに効果を実感していただけます。
例:殺菌水の効果確認

- 1.顕微鏡検査(歯周ポケットの深い所1〜2ヶ所特定。歯周病菌・常在細菌の確認。)
- 2.殺菌水による除菌
- 3.顕微鏡検査(同部位でサンプリング)
- 4.殺菌水によるスケーリング(歯肉縁上)
- 5.殺菌水によるスケーリング(歯肉縁下)
- 6.顕微鏡検査(同部位でサンプリング)
上記のように、スケーリング前後をP-Scopeで比較することで、患者さんにも納得していただきながら殺菌水の処置を進めることができます。
同様に「パーフェクトペリオ」「3-Mix法」「レーザー」「オゾン」など、除菌・殺菌による治療法の効果確認に活用できます。
他にもこんな活用法:歯磨き教室

小学生を対象にした「歯磨き教室」で口腔内細菌の画像を見せると、子供達は大ウケ!素直にリアクションしてくれます。
また、その日から必死に磨きはじめるため、何度も言葉で言うより、よっぽど効果的です。
実際に大阪市学校歯科医師会でご使用いただいております。
他にもこんな活用法:薬品の効果確認

歯周病の原因菌に対する薬品の効果確認のひとつとして、位相差顕微鏡での観察があります。
治療前は桿菌やスピロヘータが多数見られた患部から、治療後には、ほとんど細菌が見られない。という事実は患者を安心させるとともに、以後の治療への理解を深めることが可能です。
薬品による効果は?
スピロヘータや桿菌などの、いわゆる歯周病の原因菌は、嫌気性の菌類で空気を嫌います。
多くはバイオフィルムで囲われた奥に潜んでおり、退治するのが難しいのが実情です。
そこで、物理的な作用→スケーリングや、確実な歯磨きなどが、非常に重要。有効な薬剤を使用したとしても、その後の歯磨きが疎かだと効果は非常に下がってしまいます。そのため、ご家庭での歯磨きは非常に重要なのです。



